過蓋咬合について|越谷レイクタウン南口歯科・矯正歯科|越谷市の歯医者

越谷レイクタウン駅徒歩1分

〒343-0828 埼玉県越谷市レイクタウン8丁目10番地9

トピックス TOPICS

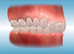
過蓋咬合について

過蓋咬合は、具体的には以下のような要素や影響が関与しています

1. 分類
過蓋咬合は、いくつかのタイプに分類されます。主に次のようなものがあります:

– 完全過蓋咬合:上の前歯が下の前歯を完全に覆う状態。
– 部分過蓋咬合:上の歯が下の歯を一部覆う状態。
– 深い過蓋咬合:上下の歯の噛み合わせが非常に深く、上の歯が下の歯の大部分を覆う状態。

2. 原因
過蓋咬合の原因には、以下のようなものがあります:

– 遺伝的要因**:家族に過蓋咬合の人が多い場合、遺伝的な影響が考えられます。
– **歯の位置の不正**:歯の生え方や位置が正常でない場合、過蓋咬合を引き起こすことがあります。
– 顎の成長の不均衡:上顎と下顎の成長が異なる場合、過蓋咬合が生じることがあります。

3. 影響
過蓋咬合があると、以下のような影響が出ることがあります:

– 咀嚼の難しさ:食べ物を正しく噛み切れないことがあり、消化にも影響します。
– 顎関節症:顎関節に過度な負担がかかることにより、痛みやクリック音が生じることがあります。
-歯の磨耗:不正咬合により特定の歯が過剰に磨耗することがあり、最終的には歯の寿命を縮める原因となります。
– 審美的な問題:顔の輪郭や口元の見た目に影響を及ぼし、自信喪失につながることもあります。

4. 治療方法
過蓋咬合の治療には、以下のような方法があります:

– 矯正治療:ブレースやクリンチングによって歯の位置を調整します。
– かみ合わせの調整:歯を削って噛み合わせを調整する方法です。
– 保定装置:治療後の歯の位置を保つための装置を使用します。

過蓋咬合についての詳細を知ることで、自分自身や他者の口腔健康に対する理解が深まります。

もし具体的な症例や治療方法について興味があれば、越谷レイクタウン南口歯科・矯正歯科のスタッフにお知らせください。